치아 발치 2개 진행 예정
0. 이빨이 갑자기 아팠다
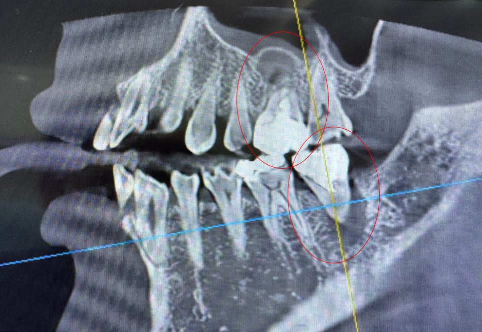
이빨이 너무 갑자기 아파져서 동네 의원가서 CT 찍어보니까 이빨 2개 염증이 너무 커서 뼈 다 녹였다고 한다.. 이거 발치 하고 염증 다 긁어내고 임플란트 박아야한다고 함..
근데 윗 이빨의 경우 염증이 위의 공기주머니(상악동) 와 너무 가까워서 잘못하면 천공(구멍이 뚫림)이 생길 수 있다고 하여 큰병원에 가라고 권유해서 바로 대학병원 예약..


하.. 치아보험도 없는데... 더군다나 대학병원에서 치과를...? 임플란트 2개 보철비에.. 뼈이식에 수술료에 뭐에 ... 한 600 들 것 같다.. 앞날이 깜깜하다. 일단 내가 실비 하나 갖고있는데 이거로 뭐라도 받을 수 있나 보자
1. 개인 실비
질병통원의료비Ⅰ(갱신형) 약관
회사는 보험증권(보험가입증서)에 기재된 피보험자(보험대상자) 가 이 특별약관의 보험기간(이하 “보험기간이라 합니다)중에 질 병(단, 보험계약 청약일로부터 과거 5년이내에 그 질병으로 인 하여 진단 또는 치료를 받은 경우 및 2.(보상하지 아니하는 손 해)의 (3)에서 정하는 보상하지 아니하는 질병은 제외합니다. 이 하 같습니다)으로 인하여 병원 또는 의원(한방병원, 한의원 및 치과병원, 치과의원은 제외합니다)등에 통원하여 치료를 받은 경우에는 아래의 질병통원의료비Ⅰ(이하 “질병통원의료비”라 합 니다)을 보상하여 드립니다.
① 통원제비용 : 진찰료, 검사료, 방사선료, 투약 및 처방료, 주 사료, 이학요법(물리치료, 재활치료)료, 정신요법료, 처치료, 재료대, 캐스트료, 지정진료비
② 통원수술비 : 수술료, 마취료, 수술재료비
①,②의 통원의료비에는 의약분업에 따라 피보험자(보험 대상자)가 부담하는 다음의 비용을 포함합니다.
① 병원 또는 의원의 의사의 처방전에 따라 조제되는 약국의 약제비
② 약사조제료
회사는 통원 1일당 위의 비용 중 국민건강보험법에 의하 여 피보험자(보험대상자)가 부담하는 비용(국민건강보험법에서 정한 요양급여중 본인부담분과 비급여 부분을 말합니다)에 대하여 5천원을 공제한 금액의 100% 해당을 이 특별약관의 보험가 입금액을 한도로 보상해 드립니다. 위 공제금액의 적용은 1일당 입니다.
회사는 아래에 정한 사유로 발생한 질병통원의료비를 보상하여 드리지 아니합니다.
① 한약재 등의 보신용 투약비용
② 피로, 권태, 심신허약 등을 치료하기 위한 안정치료비
③ 질병을 원인으로 하지 않는 신체검사, 예방접종
④ 주근깨, 점, 여드름 등으로 일상생활에 지장이 없는 피부질환
⑤ 질병을 동반하지 않는 포경수술
⑥ 의치, 의수족, 의안, 안경, 콘택트렌즈, 보청기, 보조기 등 진료재료의 구입 및 대체비용
⑦ 위생관리, 미모를 위한 성형수술비 및 비만치료비
⑧ 진료와 무관한 제비용(TV시청료, 전화료, 제증명료 등), 상당 한 이유가 없는 고단위 영양제 투여비용, 의사의 임상적 소견 과 관련 없는 검사비용
⑨ 산재보험에서 보상받는 의료비. 단, 본인부담 통원의료비는 1.(보상하는 손해)에 따라 보상하여 드립니다.
⑩ 사고(급격하고도 우연한 외래의 사고를 말합니다)로 상해를 입고 그 직접적인 결과로 인한 치료비 및 그 합병증의 치료비
=> 병원, 의원 통원 치료는 보상 해주나 "치과병원", "치과의원"은 보상 안해줌.


대한민국의 의원, 병원급 의료기관인데 그럼 종합병원에 있는 치과는 보상이 된다는 얘기임.
나는 1일당 한도 30만원이고... 대놓고 의치는 안된다고 박혀있으니 의치를 제외한 비용은 5천원 빼고 전부 보상이 가능하다는 이론임..!!
2. 회사 단체실비
(라는게 나도 모르게 가입되어 있었다..)


=> 한도도 일 20만원이네. 어쨌든 종합병원 (대학병원)으로 갈꺼니까...
(급여)최소 2만원 vs 보장의료비 20% 가 공제금액이네 예를들어 급여 20만원 나왔으면 20%면 40,000원이니까. 4만원을 뗀 나머지 금액을 보상받는군
(비급여) 이거는 치과코드 K00~K08이 안된다고 박혀있어서 비급여쪽으로는 받기힘들듯
급여 부분에서는 받을 수 있음.
3.회사 보철지원
다행히도 년간 보철 100만원 지원해줌. 의료쪽 말고 순수 보철비용만.



4. 임플란트 프로세스


5. 계획
24.11.22
- 대학병원 진료했고 12월에 발치 수술 예약 잡음. 12월 발치할 때 인공뼈까지 같이 하는건가..?
같이 하면 인공뼈 작업이 영수증에 보철로 잡히면 회사에서 24년도꺼 50% 지원 받으니까.. <- 보철로 잡히는지는 불확실